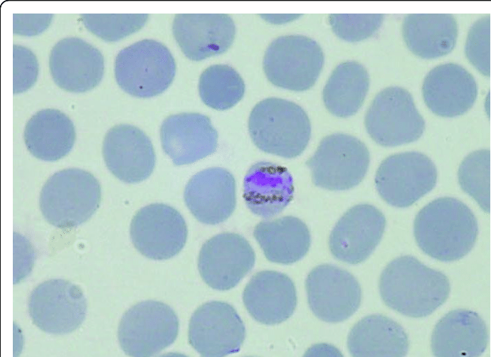
Mikroskopis Malaria
Mikroskopis malaria adalah metode pemeriksaan laboratorium yang digunakan...
Pemantapan Mutu Eksternal (PME) adalah kegiatan yang diselenggarakan secara periodik oleh pihak lain di luar laboratorium yang bersangkutan untuk memantau dan menilai penampilan suatu laboratorium dalam bidang pemeriksaan tertentu
Pengelolaan data PME sesuai dengan Kementrian Kesehatan Republik Indonesia
Pelatihan peningkatan mutu pelayanan laboratorium dan tenaga kesehatan
Dengan terus memberikan edukasi, standardisasi dan mengembangkan sistem pengujian terbaik untuk tenaga kesehatan
Pemantapan Mutu Eksternal (PME) adalah kegiatan yang diselenggarakan secara periodik oleh pihak lain di luar laboratorium yang bersangkutan untuk memantau dan menilai penampilan suatu laboratorium dalam bidang pemeriksaan tertentu. PME wajib diikuti oleh setiap laboratorium kesehatan secara periodik.
Untuk fasilitas pelayanan selain rumah sakit
Untuk akreditasi dan mutu pelayanan terbaik
Kami menyediakan berbagai layanan untuk uji dan testing standar kami untuk Anda
Silakan jelajahi layanan mana yang Anda perlukan.
Pemeriksaan Ini mencakup berbagai aspek darah, mulai dari komponen darah hingga sistem homeopatik
Pemeriksaan komposisi kimia darah dan cairan tubuh lainnya untuk diagnosis, pemantauan, dan pengelolaan kondisi medis.
Pemeriksaan sampel urin guna menilai kesehatan umum dan mendeteksi berbagai kondisi medis.
Diagnosis Bakteri Tuberkolosis bakteri secara langsung melalui analisis mikroskopis.
Diagnosis malaria dengan mendeteksi parasit Plasmodium dalam sampel darah.
Terletak di jantung kota Jawa Tengah, Semarang, kami mulai untuk berkembang untuk terus mendidik, mengedukasi dan mengajarkan para tenaga kesehatan untuk tetap melayani dengan sepenuh hati sesuai dengan aturan dan standard yang ditetapkan oleh dunia dan negara saat ini.
Jl. Jenderal Sudirman No.350. Salamanmloyo, Kec. Semarang Barat, Kota Semarang, Jawa Tengah 50149
dan jangan ragu untuk menggunakan fasilitas yang kami sediakan untuk Anda yang berdedikasi di bidang kesehatan

Standar akreditasi mengarahkan kami sejauh mana kami bisa memberikan layanan yang terbaik untuk pasien kami. Kami seorang dokter saja, masih memerlukan bimbingan juga untuk mencapai standar ini. Saya terima kasih ya bisa memberi layanan sesuai etika dan profesionalisme.

Chemistry Student
Lorem ipsum dolor sit amet, consectetur adipiscing elit, sed do eiusmod tempor incididunt ut labore et dolore magna aliqua. Lorem ipsum dolor sit amet, consec tetur adipiscing elit, sed do eiusmod tempor incididunt ut labore et dolore magna aliqua consectetur adipiscing.

Pharmacy Students
Lorem ipsum dolor sit amet, consectetur adipiscing elit, sed do eiusmod tempor incididunt ut labore et dolore magna aliqua. Lorem ipsum dolor sit amet, consec tetur adipiscing elit, sed do eiusmod tempor incididunt ut labore et dolore magna aliqua consectetur adipiscing.

Physics student
Lorem ipsum dolor sit amet, consectetur adipiscing elit, sed do eiusmod tempor incididunt ut labore et dolore magna aliqua. Lorem ipsum dolor sit amet, consec tetur adipiscing elit, sed do eiusmod tempor incididunt ut labore et dolore magna aliqua consectetur adipiscing.

Pharmacist Student
Lorem ipsum dolor sit amet, consectetur adipiscing elit, sed do eiusmod tempor incididunt ut labore et dolore magna aliqua. Lorem ipsum dolor sit amet, consec tetur adipiscing elit, sed do eiusmod tempor incididunt ut labore et dolore magna aliqua consectetur adipiscing.





Mikroskopis malaria adalah metode pemeriksaan laboratorium yang digunakan...
Pemantapan Mutu Eksternal (PME) adalah suatu program yang...
Pemantapan Mutu Eksternal (PME) adalah suatu program yang dirancang untuk...
Silakan daftarkan email Anda untuk mendapatkan update dan info terbaru kami
Kami memberikan layanan konsultasi PME, Silahkan hubungi admin di bawah ini: